DentAlign
Белење на Заби
Сакате побели, посјајни заби и посамоуверена насмевка?
Во продолжение ги одговараме најчесто поставуваните прашања за професионалното белење на забите за да знаете точно што да очекувате пред, за време и по третманот.
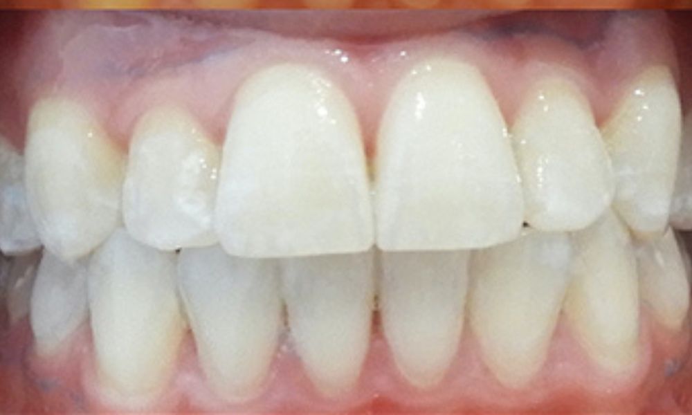
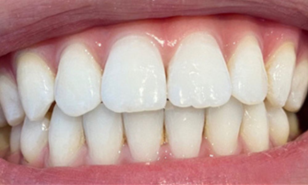
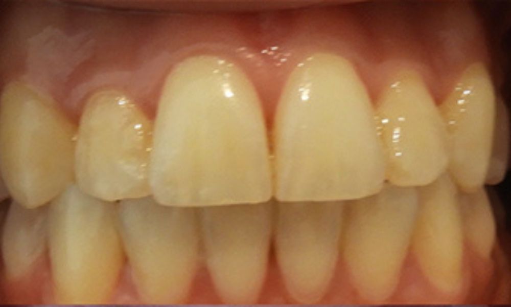
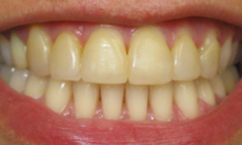
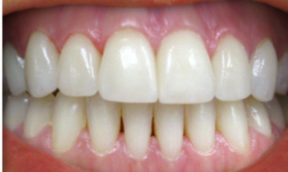
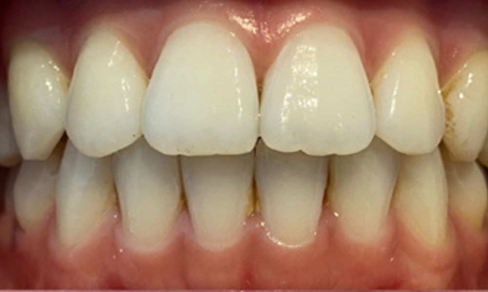
Пред & Потоа
Погледнете ги резултатите од белење на забите во DentAlign!
Белењето на забите е брз, безбеден и ефикасен начин да ја освежите вашата насмевка. Со правилна проценка од стоматолог и соодветна грижа по третманот, можете да уживате во долготрајни и природни резултати.
Доколку имате дополнителни прашања, сакате консултација или сакате да закажете термин, контактирајте не.
1. Дали белењето на забите е безбедно?
Да, професионалното белење користи контролирани концентрации на гел и ја штити глеѓта и непцата.
2. Дали белењето ги оштетува забите?
Не. Белењето не ја „јаде“ глеѓта, туку ги отстранува пигментите од внатрешноста на забот. Може да се појави привремена чувствителност, но таа исчезнува за неколку дена.
3. Колку трае ефектот?
Во просек 1–3 години, зависно од навиките (кафе, цигари, вино, хигиена). Со правилна грижа, резултатите траат подолго.
4. Дали боли?
Не боли, но некои пациенти чувствуваат краткотрајна чувствителност на ладно или топло. Тоа е нормално и привремено.
5. Колку нијанси посветлуваат забите?
Обично 2–8 нијанси, зависно од почетната боја и типот на дамки.
6. Дали белењето делува на пломби, коронки и фасети?
Не. Белењето влијае само на природната глеѓ. Доколку имате реставрации, може да биде потребно нивно прилагодување по третманот.
7. Колку трае процедурата?
Процедурата за белење заби трае од 45 до 90 минути.
8. Кој не е кандидат за белење?
Бремени жени, лица со сериозна чувствителност, кариес или воспалени непца треба прво да се решат иницијалните стоматолошки проблеми.
9. Дали постојат несакани ефекти?
Најчесто само привремена чувствителност или иритација на непцата ако не се заштитени правилно.
10. Што треба да избегнувам по белењето?
Во првите 48 часа избегнувајте кафе, црвено вино, темни сосови и цигари – тоа е т.н. „бела диета“.
Контактирајте не денес и разубавете ја вашата насмевка.


